切换至 "中华医学电子期刊资源库"

中华临床实验室管理电子杂志 ›› 2025, Vol. 13 ›› Issue (04) : 230 -232. doi: 10.3877/cma.j.issn.2095-5820.2025.04.007

病例报告

一例4号、12号染色体嵌合异常的遗传学分析
耿丹(), 杨苗   
  1. 030000 山西 太原,太原金域临床检验有限公司遗传中心
  • 收稿日期:2024-11-15 出版日期:2025-11-28
  • 通信作者: 耿丹

Genetic analysis of a case of chimeric abnormality between chromosomes 4 and 12

Dan Geng(), Miao Yang   

  • Received:2024-11-15 Published:2025-11-28
  • Corresponding author: Dan Geng
引用本文:

耿丹, 杨苗. 一例4号、12号染色体嵌合异常的遗传学分析[J/OL]. 中华临床实验室管理电子杂志, 2025, 13(04): 230-232.

Dan Geng, Miao Yang. Genetic analysis of a case of chimeric abnormality between chromosomes 4 and 12[J/OL]. Chinese Journal of Clinical Laboratory Management(Electronic Edition), 2025, 13(04): 230-232.

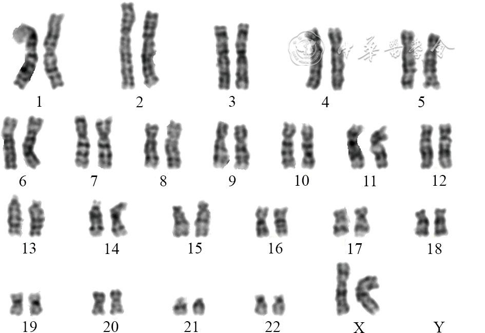
图1 46,XX,add(4)(q31.1)核型图(徕卡全自动扫描仪GSL120油镜100倍、CytoVision分析软件) 注:红色箭头指有未知来源的染色体片段附着于4号染色体长臂。
图2 46,XX核型图(徕卡全自动扫描仪GSL120油镜100倍、CytoVision分析软件)
图3 CMA检测染色体异常细节图 注:chr12p13.33p11.22 嵌合重复区域细节图(蓝色代表重复)。
1
邱惠国, 张彧梅. 3622例不同产前诊断指征孕妇胎儿染色体核型分析[J]. 中国妇幼保健, 2024, 39(22): 4514-4517.
2
胡秀琴, 郝胜菊, 陈雪, 等. 甘肃地区11087例遗传咨询者染色体检测结果分析[J]. 中国优生与遗传杂志, 2019, 27(12): 1435-1436.
3
肖伟伟, 周雪纯, 崔冬, 等. 深圳儿童染色体异常核型变迁情况分析[J]. 国际遗传学杂志, 2023, 46(5): 337-342.
4
DREMSEK P, SCHWARZ T, WEIL B, et al. Optical genome mapping in routine human genetic diagnostics-its advantages and limitations[J]. Genes (Basel), 2021, 12(12): 1958.
5
BEDEI I, WOLTER A, WEBER A, et al. Chances and challenges of new genetic screening technologies (nipt) in prenatal medicine from a clinical perspective: A narrative review[J]. Genes (Basel), 2021, 12(4): 501.
6
宋银森, 范天黎, 马金元. 3155例智力低下患儿的细胞遗传学分析[J]. 中国优生与遗传杂志, 2017, 25(4): 65-76.
7
王永化, 田琪, 张蕊, 等. 12号染色体三体、嵌合及单亲二体的临床特征及产前诊断[J]. 中国产前诊断杂志(电子版), 2021, 13(1): 6-11.
8
ECKEL H, WIMMER R, VOLLETH M, et al. Intrachromosomal triplication 12p11.22-p12.3 and gonadal mosaicism of partial tetrasomy 12p[J]. American journal of medical genetics. Part A, 2006, 140(11): 1219-1222.
9
王坤, 祝葆华, 刘彦慧. 12p部分三体综合征的临床研究进展[J]. 国际遗传学杂志, 2012, 35(5): 300-304.
10
HONG B, ZUNICH J, OPENSHAW A, et al. Clinical features of trisomy 12 mosaicism-report and review[J]. American journal of medical genetics. Part A, 2017, 173(6): 1681-1686.
11
胥会会, 龙艳喜, 张昆玉, 等. 外周血染色体核型嵌合患者核型特征及临床症状分析[J]. 中国产前诊断杂志(电子版), 2024, 16(4): 16-21.
12
ALLEN T L, BROTHMAN A R, CAREY J C, et al. Cytogenetic and molecular analysis in trisomy 12p[J]. American journal of medical genetics, 1996, 63(1): 250-256.
13
STENGEL-RUTKOWSKI S, ALBERT A, MURKEN J D, et al. New chromosomal dysmorphic syndromes: 4. Trisomy 12p[J]. European journal of pediatrics, 1981, 136(3): 249-262.
14
张忆聪, 黎凤珍, 吴丽华, 等. 产前2例嵌合型12号染色体三体细胞遗传学分析与临床结局分析[J]. 中国产前诊断杂志(电子版), 2021, 13(2): 42-45.
15
UCHIDA I A, LIN C C. Identification of partial 12 trisomy by quinacrine fluorescence[J]. The journal of pediatrics, 1973 , 82(2): 269-272.
16
TAYEL S, MCCORQUODALE M M, RUTHERFORD T, et al. A case of de novo trisomy 12p syndrome[J]. Clinical genetics, 1989, 35(5): 382-386.
17
张亚男, 曾艳红, 宋新明, 等. 12p 部分三体的细胞-分子遗传学及表型定位研究[J]. 中国神经精神疾病杂志, 2011, 37(12): 744-748.
18
刘芙蓉, 郝胜菊, 王兴, 等. 12p三体新生儿1例临床及细胞分子遗传学分析[J]. 临床儿科杂志, 2019, 37(1): 22-25.
19
段福慧, 杨锡彤, 罗雪颜, 等. 染色体嵌合体在基因检测中的研究进展[J].海南医学, 2023, 34(13): 1956-1959.
20
张磊, 张美玲, 李红敏, 等. 54例性染色体嵌合体的遗传学分析[J]. 中华医学遗传学杂志, 2021, 38(10): 1034-1035.
21
杨明雪, 翟俊英, 石国西. 染色体核型分析联合CMA技术在不良孕产史孕妇产前诊断中的价值评估[J]. 实验与检验医学, 2024, 42(5): 446-449, 488.
22
姜兆娜, 张力. 染色体微阵列和核型分析在胎儿超声软指标异常中的应用评价[J]. 国际遗传学杂志, 2024, 47(2): 86-92.
23
中国预防医学会出生缺陷预防与控制专业委员会产前筛查和诊断学组, 中华医学会医学遗传学分会产前诊断学组. 染色体微阵列分析技术在产前诊断中的应用指南(2023)[J]. 中华医学遗传学杂志, 2023, 40(9): 1051-1061.
24
江梅花, 陈先侠. 染色体微阵列分析技术在产前诊断中的研究进展[J]. 临床误诊误治, 2020, 33(3): 112-116.
25
王增阁, 郭奇伟, 周裕林. 染色体微缺失微重复综合征遗传检测的现状及展望[J]. 中华检验医学杂志, 2016, 39(6): 407-409.
26
律玉强, 王兴翠, 张开慧, 等. 一例18号环状染色体嵌合体综合征的综合诊断[J]. 中华医学遗传学杂志, 2019, 36(10): 1010-1014.
27
林俊伟, 侯红瑛, 章钧. 染色体微阵列技术检测父源性t(13;22)非平衡易位22q13缺失综合征一例及文献复习[J].新医学, 2023, 54(11): 826-831.
28
万陕宁, 党颖慧, 郑芸芸, 等. 染色体微阵列技术对1例6p21微缺失综合征的产前诊断[J]. 山西医科大学学报, 2021, 52(3): 388-390.
29
LIANG D, WU L, PAN Q, et al. A father and son with mental retardation, a characteristic face, inv(12), and insertion trisomy 12p12.3-p11.2[J]. American journal of medical genetics. Part A, 2006, 140(3): 238-244.
30
RIVERA H, GARCÍA-ESQUIVEL L, JIMÉNEZ-SÁINZ M, et al. Centric fission, centromere-telomere fusion and isochromosome formation: A possible origin of a de novo 12p trisomy[J]. Clinical genetics, 1987, 31(6): 393-398.
No related articles found!
阅读次数
全文


摘要


AI


AI小编
你好!我是《中华医学电子期刊资源库》AI小编,有什么可以帮您的吗?